Misteriosa malattia colpisce sempre più giovani in una provincia canadese

C'è la possibilità che sia contagiosa. In nove diversi casi due persone senza legami genetici presentavano sintomi
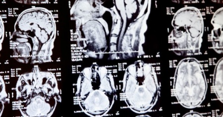
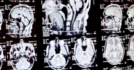
FREDERICTON - Perdita di memoria, atrofia muscolare e allucinazioni. Questi sono alcuni dei sintomi riscontrati in un numero crescente di adolescenti e giovani adulti nella provincia del New Brunswick, in Canada. Gli esperti sono sconcertati, potrebbe essere una malattia neurologica sconosciuta.
Da circa due anni i medici del Canada si stanno ponendo un grosso interrogativo. Sempre più giovani stanno accusando sintomi comuni di quella che potrebbe essere una nuova malattia che colpisce a livello neurologico. Perdono inspiegabilmente peso, hanno spasmi, problemi di equilibrio e la visione che si offusca. I pazienti identificati nella provincia del New Brunswick sono 48, ma potrebbero essere il triplo. Questo perché ci sono numerosi pazienti che aspettano ancora la propria valutazione clinica.
Un dipendente di una delle due autorità sanitarie della provincia, la Vitalité Health Network, ha rivelato al Guardian dietro anonimato che la malattia potrebbe non riguardare solo gli abitanti del New Brunswick. Ci sono almeno nove casi in cui due persone a stretto contatto e senza legami genetici hanno sviluppato dei sintomi. Potrebbero essere quindi coinvolti dei fattori ambientali. Ad esempio, una donna che si prendeva cura del marito da quando lui aveva iniziato a sviluppare sintomi di demenza e atassia, ha improvvisamente iniziato a non dormire, ad avere allucinazioni, demenza e atrofia muscolare.
Ciò che si sa di questi pazienti è che prima di presentare i sintomi, non avevano alcuna malattia pregressa, né una predisposizione genetica. Ma il dibattito infiamma, tant'è che molti esperti e la stessa provincia del New Brunswick mettono in dubbio le diagnosi e credono che in realtà le persone toccate non abbiano un morbo misterioso, ma una malattia o una serie di malattie note. Sul sito adibito, la provincia scrive che «i segni e sintomi clinici sono simili a quelli associati alla malattia di Creutzfeldt-Jakob, ma hanno caratteristiche atipiche. A oggi, tutti i risultati dei test sono stati negativi per forme note di malattia da prioni umana».
Global News ha raccontato la storia di Gabrielle Cormier che ha notato i primi segni della malattia nel 2019. Oggi ha 20 anni e ha sviluppato problemi di memoria, mobilità e vista. La speranza di vita per le persone toccate da questo morbo è tra i 18 e i 36 mesi a partire da quando si presentano i sintomi. A partire dal 2019, nove persone sono decedute a causa della malattia. La giovane e la sua famiglia sanno che quel momento è vicino e cercano di dare e fare il più possibile insieme, per conservare ricordi, anche se continuano a lottare.
La famiglia di un paziente che è deceduto per il decorso grave di questa malattia misteriosa ha chiesto che il corpo del defunto venisse sottoposto a dei test per verificare la presenza di neurotossine. Tra queste, è stata indicata anche la beta-Metilamino-L-alanina (BMAA), contenuta in alte concentrazioni nelle aragoste. Questo crostaceo in particolare è parte integrante dell'economia delle comunità costiere del New Brunswick.
Uno scienziato ha affermato che è tutto pronto perché questo test, lungo e complesso, venga eseguito, ma «il New Brunswick ci ha specificamente detto di non andare avanti». La provincia, che già negli scorsi mesi aveva negato che l'insorgere dei sintomi fosse legato a cibo o a fattori ambientali, si prepara ad annunciare nelle prossime settimane che il gruppo di casi identificato non è che il risultato di diagnosi errate.